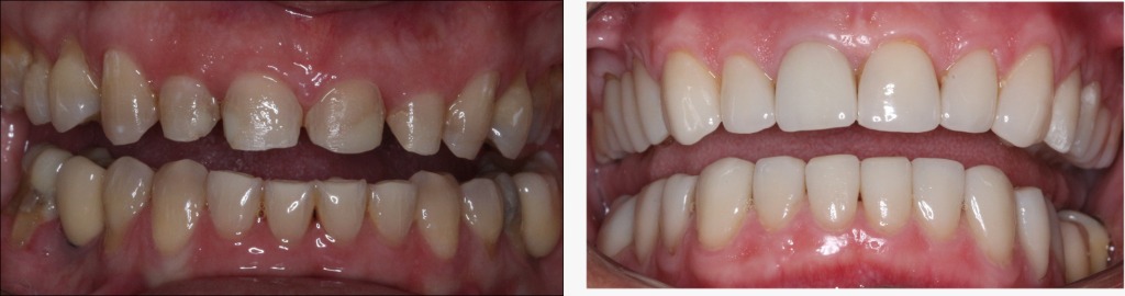
A Odontologia Estética vai muito além da aparência: ela transforma sorrisos e eleva a autoconfiança. Clareamento dental, fechamento de espaços, correção de imperfeições, recontorno gengival e restaurações estéticas são alguns dos tratamentos que utilizamos para deixar seu sorriso mais harmônico, branco e natural.
Com técnicas modernas e seguras, aliamos saúde bucal à estética facial, proporcionando resultados que valorizam sua individualidade.

